ENT Content
Check out the medically related posts and videos below, along with some important articles. If you don’t want to see some graphic medical pictures, probably don’t click anything.
Blog Posts
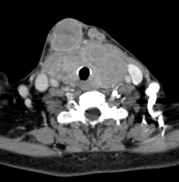
Giving Hope Through Jaw Reconstruction: Treating Ameloblastoma in Kenya
Ameloblastomas are benign but locally aggressive tumors that most often arise in the mandible (lower jaw). While they grow slowly, patients in Kenya frequently present with very large masses by the time they come for treatment — far larger than any I encountered during my surgical training in the United States. Once these tumors reach…
Baby Olivia’s Story
Read about a one of my patients on the hospital blog. When baby Olivia was born earlier this year, his mother’s heart swelled with a mix of emotions. She had imagined welcoming her daughter with joy, not fear, grief, and desperation. As she held her newborn, her gaze remained fixed on a large swelling on…
Restoring her voice
In between the routine patients, standard surgeries, and minor problems which color the background of my work at Kijabe come patients with heart-wrenching stories, difficult problems, and occasionally triumphs. The patient featured below (and the first case of the video above) was a pedestrian hit by a bus last year. She suffered injuries to her…
Stories from the Road: AIC-CURE Children’s Hospital of Kenya
Click to read the full article The bulletin is a news publication by the American Academy of Otolaryngology. It’s cool to see our national academy taking an interest in the work at Kijabe. I was able to work with Dr. Belcher and the team when they visited last year. Since the team’s last visit, the…
October 2024 Update
Greetings friends, Thank you for caring about our neighbors and our family in Kijabe. This fall has continued to be an interesting time, with encouraging events like rebuilding from the floods and new families moving to Kijabe, and challenges like national strikes over education and healthcare. Continue below to hear a patient story, a library…
2 years in Kenya
Surprisingly, we have been in Kenya for two years! Sometimes it still shocks us that we actually made the move, but mostly it’s hard to imagine being anywhere else. The kids are aware that we are foreigners from the US, but to them America is where their grandparents live. We compiled a list of frequently…
Trip to Tenwek
This past week I traveled to Tenwek at the behest of the new Kenyan neurosurgeon at the hospital. He had arranged for a visiting American neurosurgeon and myself to do two transphenoidal pituitary cases together to give him more experience. Tenwek is a mission hospital in Bomet, usually about 4 hours away. There were massive…

































Required Reading for Every Otolaryngologist

The UK CORONA Initiative is a collection of over 50 video lectures given by leading professors around the country since the pandemic began, all posted on Youtube.
If these resources have been helpful, consider donating to support the work.
Follow My Blog
Get new content delivered directly to your inbox.
